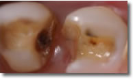
虫歯治療
一度虫歯が出来て歯に穴が空いてしまうと、自然に治ることは絶対にありません。放っておくと進行する一方です。
早期に治療をすれば痛い思いをする可能性も低くなりますし、治療にかかる時間や費用も少なくなります。
日常のセルフケアと専門家によるプロフェッショナルケアでバイオフィルムを除去する様に常に心がけることが大切です。

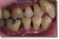
歯周病
「歯周病(歯槽膿漏)」とは噛み合わせのバランスが崩れお口の中の細菌によって歯の周りの骨が溶かされていく病気です。
歯周病は、徹底した原因物質の除去、正しいブラッシング、調和のとれた噛み合わせの維持で予防する事が出来ます。
半年から1年に1度は歯科医院で歯周病のチェックと噛み合わせのチェックと歯のクリーニングを受ける事をお薦めいたします。

入れ歯(マグネットデンチャー)
磁石の力で入れ歯がピッタリ吸着します。
歯根に「磁性金属」を取付け、入れ歯に「小型磁石」を埋め込みます。
歯の無い方は、インプラント(人工歯根)と組み合わせてご利用してください。
◇装着、取り外しが簡単!
バネや複雑な仕掛け等がないシンプルな構造なので簡単に装着取り外しができます。
◇ピッタリ固定!
小さくても強力な磁石の力で吸着し、入れ歯が落ちたり、口の中がガタガタしにくくなります。
◇お手入れ簡単!
入れ歯がシンプルな構造になっているので、お手入れなどのメンテナンスが簡単にできます。

無痛治療(Carisolv)
カリソルプはスウェーデンで研究・開発された回転切削機器を極力使わずに行う虫歯治療法に使用する材料です。
カリソルプはカリソルプ溶液(次亜酸素酸ナトリウムと3種類のアミノ酸の混合液)の作用により、虫歯菌に感染した象牙質のみを選択的に軟化させ、専用のインスツルメントを使って感染部位のみを優しく除去することができます。
また、健康な歯質には作用しないので歯の組織をできる限り温存する治療法とも言えます。
従来の歯科治療に使用するエアータービンやマイクロモーターなどの使用を最小限にすることができますので小児や高齢者、歯科治療が恐い方、痛みに弱い方などに適していると言えます。








